Are Sealants Just for Kids?

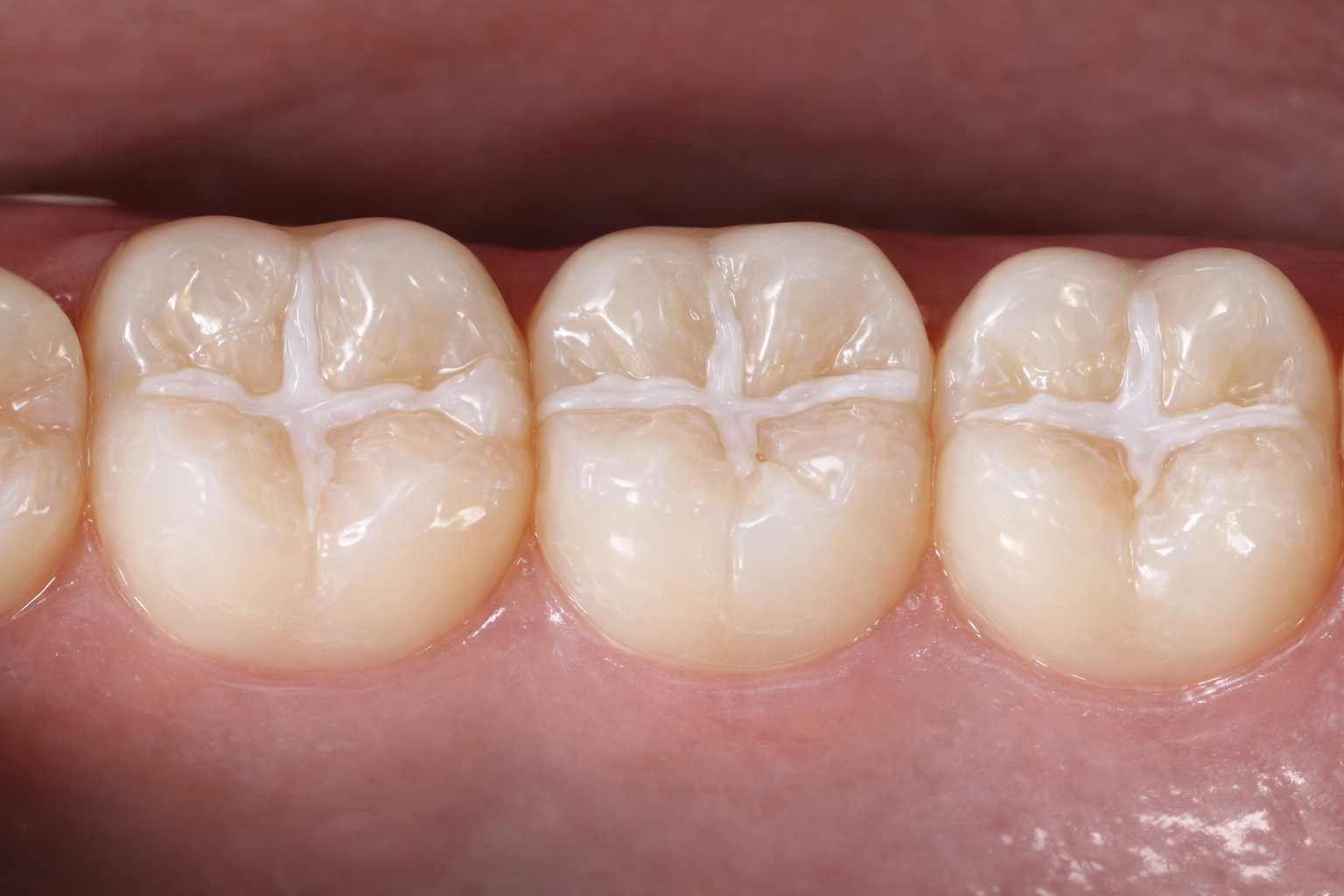
Dental sealants on molars

Definitely not.

Sealants are not just for kids. They’re commonly placed on children’s molars because those teeth have deep grooves that trap plaque and bacteria — and kids aren’t always the most consistent brushers yet. But plenty of adults have those same deep grooves. Add in things like dry mouth from medications, gum recession, acid exposure, or a history of decay, and sometimes an adult tooth can benefit from the same type of protection.

A sealant is simply a thin protective coating that flows into the natural pits and grooves of the tooth and hardens. There’s no drilling and no numbing — it’s conservative, painless, and completely reversible. If it chips or wears over time, it can be repaired. My philosophy has always been that prevention is better than treatment, because once a tooth needs a filling, that tooth is never quite the same again.

So why are sealants not routinely recommended for adults?

Most of the time it comes down to insurance, not effectiveness. Dental insurance typically only covers sealants for children, usually up to about age 14. Because of that, many offices simply get into the habit of only offering them to kids. Over the years, that created the impression that sealants are a “children’s service.” The truth is that adults with deep grooves — especially those with higher cavity risk — can absolutely benefit from added protection. In my practice, I try hard not to let insurance rules decide what’s clinically appropriate. If something is conservative, reasonable, and may help prevent a future filling, I think it deserves a conversation. Plus, a sealant is usually less expensive than a filling and doesn’t permanently alter a tooth.

So, are sealants just for kids? Definitely not. They’re for anyone — child or adult — whose teeth would benefit from a little extra protection. My goal is to help you keep as much natural tooth structure as possible, for as long as possible. And if a simple sealant helps do that, I’m all for it.

Previous
Previous

Hydration and Oral Health: Simple Habit, Big Impact

Next
Next

Remember that Floss Controversy?