Dental Bridges vs. Partial Dentures: What’s the Difference?

When a tooth is missing, patients may be told they need a bridge or partial, but those terms are confusing and need to be explained clearly. While both options replace missing teeth, they differ in how they’re supported, how they feel, and how they affect long-term oral health.

A dental bridge replaces one or more missing teeth by anchoring to the teeth on either side of the gap. These supporting teeth are typically reshaped to hold crowns, with the replacement tooth suspended between them.

Key characteristics:

  • Fixed in place and does not move

  • Feels very similar to natural teeth

  • Requires reshaping of adjacent teeth so crowns can support the bridge

  • Cleaned like natural teeth using brushing and flossing, often with special flossing aids

  • Typically lasts many years when oral hygiene is excellent

What Is a Dental Bridge?

Dental Bridge — Pros

  • Fixed and very stable

  • Natural look and feel

  • No need to remove for cleaning

Dental Bridge — Cons

  • Requires reshaping otherwise healthy teeth in some cases

  • If existing crowns are present on supporting teeth, they must be removed and replaced

  • Can be harder to clean underneath if oral hygiene is poor

  • Not ideal if the supporting teeth are weak or compromised

  • If one part of the bridge becomes damaged the whole bridge usually needs to be replaced.

  • Insurance contracts may downcode to a partial denture

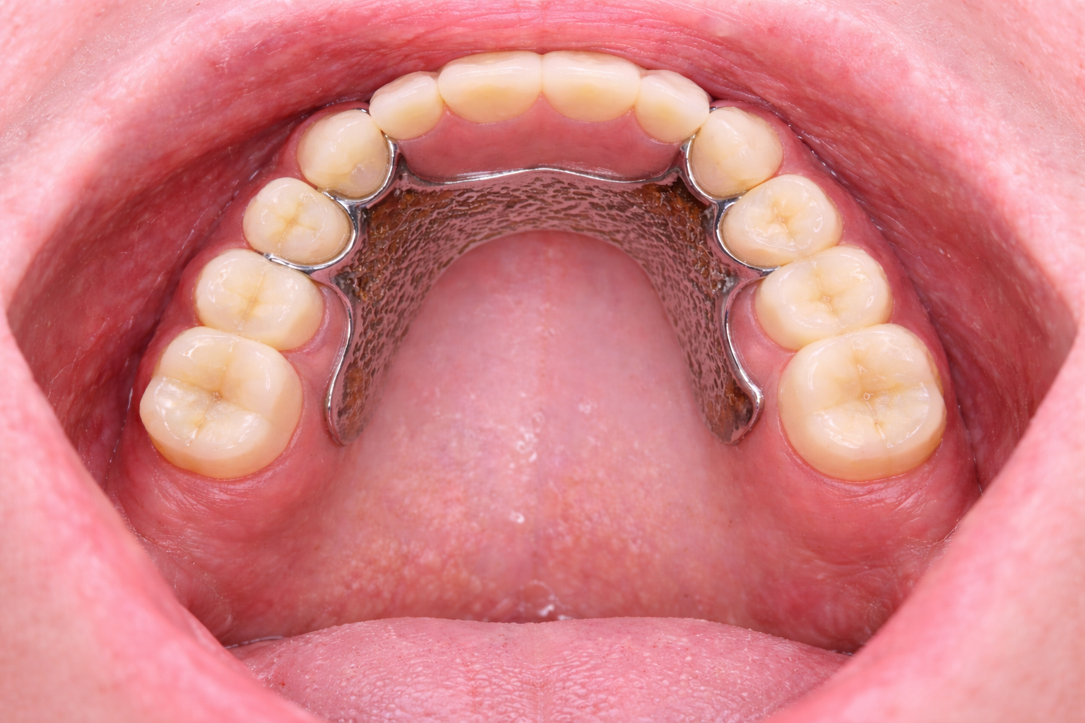
A partial denture is a removable appliance that replaces one or more missing teeth and is supported by remaining teeth and gums.

Key characteristics:

  • Removable and taken out daily for cleaning

  • May move slightly during function

  • Food can become trapped underneath, sometimes requiring removal after meals

  • Some teeth may need minor contouring, and rest seats may be placed to properly support the appliance

  • May require adjustments, relines, or replacement as gums and teeth change over time

Partial Denture

Partial Denture — Pros

  • Conservative to surrounding teeth

  • Can replace multiple missing teeth in different areas

  • Often lower initial cost

  • Insurance usually covers some of the cost

Partial Denture — Cons

  • Removable and may feel bulkier

  • May need to be removed after meals to clean trapped food

  • Clasps can loosen over time and may need periodic adjustment

  • Metal clasps may be visible and affect esthetics

  • Make take multiple appointments to fabricate

  • May need to be relined underneath as bone and tissue resorb