Pregnancy & Oral Health: What Every Mom Should Know

Pregnancy changes the entire body—including the mouth. Shifts in hormones, saliva chemistry, and the immune response can make gums more reactive and teeth more vulnerable. The good news is that with the right care, most pregnancy-related dental issues are preventable, and dental visits are not only safe—they’re often recommended.

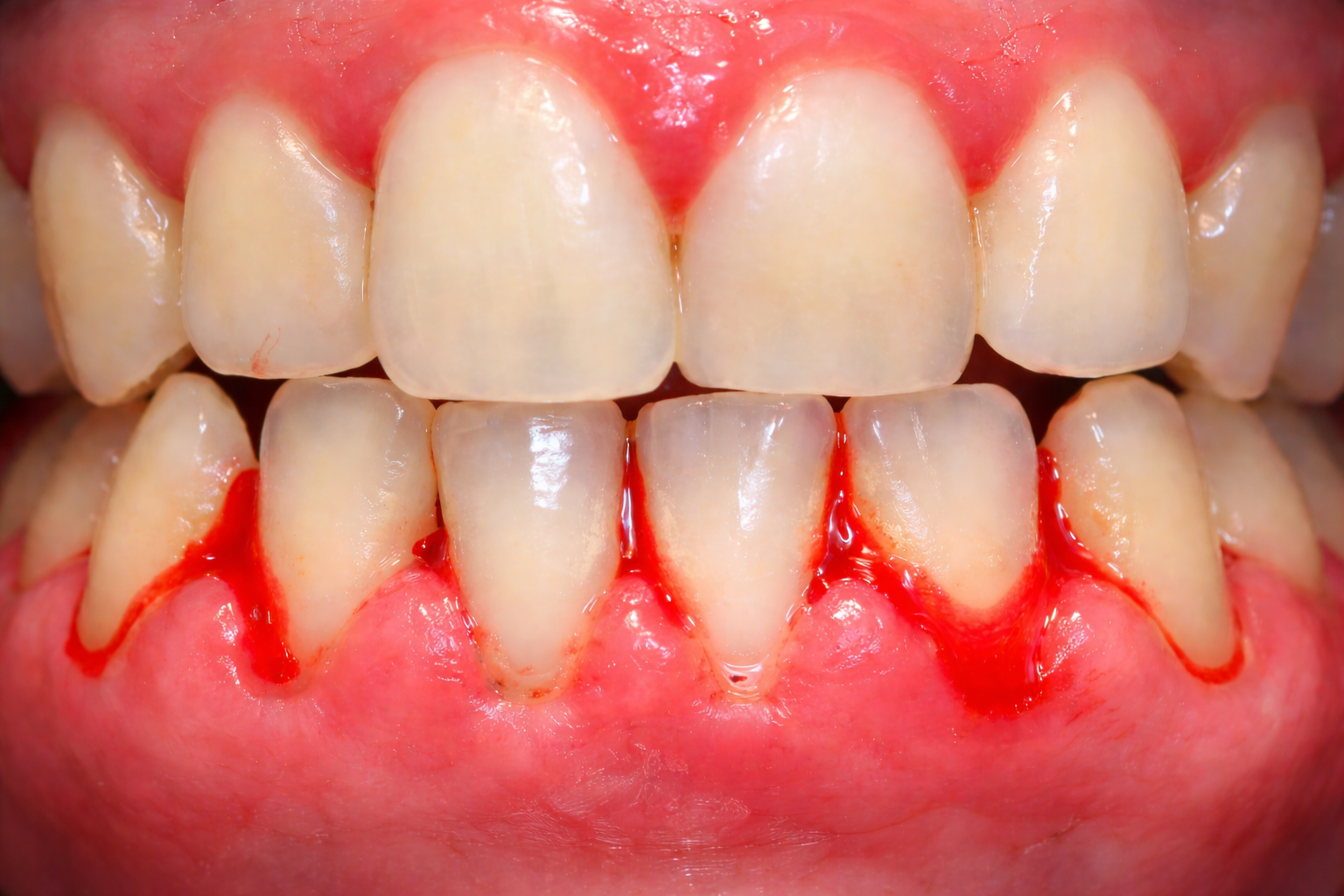
Why Pregnancy Affects the Gums

During pregnancy, rising hormone levels increase blood flow to the gums and alter how gum tissue responds to bacteria—particularly Prevotella intermedia (P.i.), a species that can thrive in hormone-rich environments. As this bacterium increases, it can trigger pregnancy gingivitis, causing gums to become swollen, tender, and more prone to bleeding during brushing or flossing, even when oral hygiene habits haven’t changed.

This isn’t “normal bleeding.” It’s a sign of inflammation, usually driven by oral biofilm at the gumline. If gum inflammation is ignored, it can progress toward periodontal disease in susceptible patients.

Pregnancy and Tooth Decay: The Hidden Risks

Pregnancy doesn’t directly “steal calcium from teeth,” but it can increase the conditions that allow cavities to form. Common risk factors include:

  • More frequent snacking (especially carbohydrates)

  • Morning sickness and acid exposure

  • Dry mouth or changes in saliva flow

  • Fatigue that makes routines harder to maintain

When oral biofilm is fed frequently, acid-producing organisms—such as Streptococcus mutans—can increase. Over time, this raises the risk for enamel demineralization and tooth decay.

Morning Sickness, Acid, and Enamel Erosion

If you experience nausea or vomiting, stomach acid can soften enamel. The most important tip is: don’t brush immediately after vomiting (enamel is temporarily softened). Instead:

  1. Rinse with water right away

  2. If available, rinse with a baking-soda-in-water solution (gentle neutralization)

  3. Wait about 30 minutes before brushing

This helps reduce enamel erosion while still keeping the mouth clean.

Xylitol and Pregnancy

Xylitol can be a helpful adjunct during pregnancy, especially for patients who experience increased cavity risk or frequent snacking. Xylitol is a naturally occurring sugar alcohol that does not feed cavity-causing bacteria, particularly Streptococcus mutans. Instead, it interferes with these bacteria’s ability to adhere to teeth and produce acid, helping reduce overall bacterial activity . Regular use—such as xylitol-containing gum or mints after meals—may help lower acid exposure, support saliva flow, and reduce cavity risk without affecting blood sugar levels. As with any product, moderation matters, and patients should choose dental-specific xylitol products and discontinue use if gastrointestinal discomfort occurs. Continuing xylitol use after delivery can also be beneficial, as it may reduce the transfer of cavity-causing bacteria from parent to baby through everyday contact, helping protect the child’s developing teeth and oral health.

 FAQs

  • Yes. Preventive dental care, including cleanings and exams, is safe during pregnancy and strongly recommended. Maintaining gum health can reduce inflammation and lower the risk of infection.

  • Hormonal changes during pregnancy can make gums more reactive to bacteria. Certain oral bacteria respond to pregnancy hormones, leading to increased inflammation even when brushing habits stay the same. Bleeding is a sign of inflammation—not something to ignore.

  • Pregnancy gingivitis is common, but it’s not something you should simply accept. It indicates gum inflammation caused by oral biofilm. With proper care and regular cleanings, it is usually reversible.

  • Yes. Changes in saliva, frequent snacking, acid exposure from morning sickness, and fatigue can all increase cavity risk during pregnancy. Managing biofilm and supporting enamel are key.

  • When necessary, dental X-rays can be taken safely using appropriate shielding. We only recommend them when the diagnostic benefit outweighs any risk.

  • Rinse with water right away and wait about 30 minutes before brushing. Brushing immediately after vomiting can damage softened enamel. A baking-soda rinse can help neutralize acid.