Abfractions

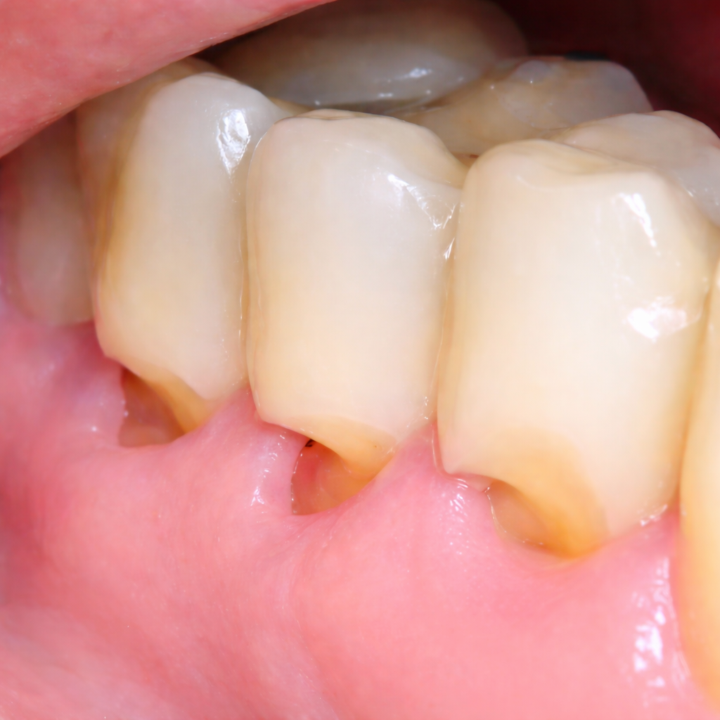
Abfractions are non-cavity tooth lesions that appear near the gumline, most often on the buccal (cheek-facing) surfaces of teeth. They typically look like small notches or grooves and are not caused by decay.

Instead, abfractions are believed to result from mechanical stress and flexing of the tooth. When biting forces are uneven or excessive—such as with clenching, grinding, or bite imbalances—the tooth can bend microscopically. Over time, this repeated stress concentrates at the cervical area of the tooth (where enamel meets root), leading to gradual loss of tooth structure. Excessive brushing can increase the loss of tooth structure.

What Are Abfractions?

Abfractions don’t stop on their own. As the tooth continues to flex under biting forces, the defect can deepen—moving closer to the nerve of the tooth. Over time, this can lead to significant sensitivity, structural weakening, and in some cases exposure of the pulp, requiring root canal treatment.

If the stress continues unchecked, the tooth itself may fracture, turning a small cervical defect into a much larger restorative problem. Early diagnosis and intervention are key to protecting the tooth long-term.

What Happens If Abfractions Are Left Untreated?

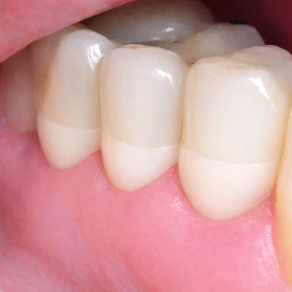
Treatment depends on the severity of the abfraction. Early cases may be monitored and managed by addressing bite forces or clenching habits. When tooth structure is lost or sensitivity is present, a bonded restoration can protect the area and restore strength. In advanced cases, additional treatment may be needed to protect the nerve or prevent fracture. The photo shows abfraction areas restored with resin modified glass ionomer filling material.

How Are Abfractions Treated?