Tooth Sensitivity

Tooth sensitivity is one of the most common concerns we evaluate. While many people assume sensitivity means decay, the cause is often far more subtle. In many cases, symptoms arise from exposed root surfaces associated with gum recession. As protective structures change, teeth may respond differently to temperature, touch, and everyday stimuli. Understanding the underlying reason for sensitivity allows treatment to be precise, conservative, and highly effective.

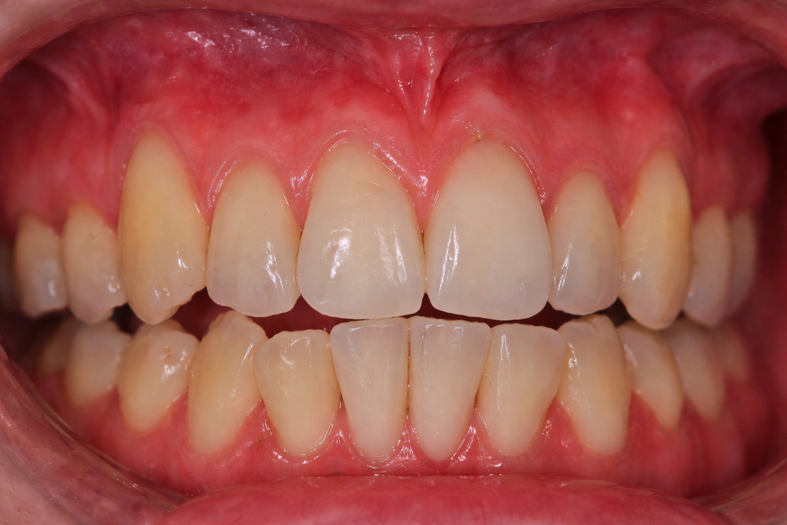
Tooth sensitivity is one of the most common concerns patients mention.

Many people assume sensitivity automatically means a cavity or a serious dental problem.

Very often, it does not.

In a large percentage of cases, sensitivity is the result of gum recession.

As gums gradually move away from the tooth, the root surface becomes exposed. Unlike enamel, which is highly protective, root surfaces are composed of dentin — a structure filled with microscopic channels known as dentinal tubules.

These tubules communicate directly with the nerve of the tooth.

When they are uncovered, everyday stimuli begin to trigger noticeable sensations.

Cold beverages, temperature changes, air, touch, or even brushing can produce the sharp, quick response patients commonly describe as a “zing.”

Why exposed roots often change how teeth feel

While recession is extremely common, sensitivity can also arise from tooth decay, cracked teeth, leaking restorations, enamel erosion, whitening treatments, or mechanical stress such as clenching and grinding.

Because multiple conditions can produce similar sensations, evaluation is important when symptoms are persistent, worsening, or isolated to a specific tooth.

Sensitivity is information.

Its cause should be identified rather than assumed.

Sensitivity Can Also Have Other Causes

Treatment is directed at protecting exposed dentin and moderating nerve response.

Depending on the clinical findings, this may involve fluoride therapies — including prescription-strength formulations and professional varnish applications — mineral-based approaches such as nano-hydroxyapatite (nHA), desensitizing agents like potassium nitrate, or laser therapy designed to reduce nerve reactivity.

In certain situations, protective bonding agents may also be used to physically seal exposed surfaces.

The goal is stabilization, not temporary masking.

How We Manage Sensitivity